July 1st 2008
Life is wonderful!
Sorry this has taken so long to post. Sandra is doing great and we are starting to find a routine. I'm amazed at how much a young baby will tie everyone down the first week of life. Ever since Megan's milk came in Sandra has been eating for forty to fifty minutes at least every two hours (sometimes she doesn't seem to stop). This is great from the perspective that she has started to regain weight and is approaching her birth weight. But it does leave Megan feeling isolated and somewhat stuck if I don't sit with her and talk while she feeds the baby.
We've had a few visitors drop by to see Sandra which has been fun. Two of our friends Zack and Emily dropped by yesterday and gave Sandra a snuggle sheep, which plays white noise sounds like rain, heart beats, or ocean waves. This really does seem to calm Sandra and she fell asleep at 10:00 last night until 1:30 am. Unfortunatelly for Megan, after that she wanted to eat every hour, but we are very excited to see her growing.
I've heard many requests for pictures, and I'm sorry that it has taken me so long to throw something up here. I started with the intention of building a photo gallery, but that will have to come later, in the meantime, here are a few of the pictures I've take the last week.
There are many more coming, but I figured I should get a few up. Sorry about the delay!
—Bill
June 23rd 2008
Overdue...
Megan is a trooper. I believe we've tried everything that is reasonable to do to encourage labor. But it appears that Peanut is taking after the Bair family history, rather than the Buhler. What's funny about this is that I was three weeks early and seldom early or even ontime since. Megan was late, but is mostly early or on time to everything. It makes me wonder what Peanut's time management tendancies will be.
In any case we are pretty sure that one way or another we will have a baby in our arms by Wednessday. The preparation has been a lot of work. It started with my Dad helping me move furniture between several different rooms of the house. Then Megan's parents arrived and Sherrie has been a huge help. She even has started sewing custom curtains for the nursury.
Late Saturday night I finished assembling the baby's crib (which we won't use for the first few weeks). I still need to finish remodelling the nursery, but it is going pretty quickly. I'm simply amazed at how quickly time is going and how little I seem to be able to get done. I hear once the baby gets here it will be worse, I guess time will tell.
So anyway, please keep us in your prayers and hopefully the baby will come sooner than later.
—Bill
February 10th, 2008
Peanuts are feminine.
I was very amused when I learned that most languages assign a gender to each word. To me having to remember whether the kitchen table was a girl or a guy and refer to it appropriately seemed foolish. Of course years later, almost all of my computers have female names (Myrtle, Lizzy, etc.), and I tend to refer to my car as a girl. . . You are probably asking what this has to do with anything, so I'll get to the point. Our baby is now quite a bit larger than a peanut, and seems to be doing well. We had the twenty week ultrasound on Thursday and discovered that our baby is a girl! We are planning on naming her Sandra Ruth Buhler, unless of course she doesn't look like a Sandra Ruth Buhler, in which case we aren't above changing our minds.
In other news Megan threw a large and successful baby shower yesterday for our mutual friend Jenny Roos (formerly Halverson), who is having a baby boy in twenty nine days. I did my best to stay out from underfoot but it was fun to see a few friends from our old singles ward. Jenny told Megan that I was remise in my duties to keep everyone posted, so I decided to spend some time updating the entries.
Finally, I spoke in Sacrament Meeting today about Doctrine and Covenants 84:20-21. When I first spoke with the Bishop's counselor on Wednesday night he said I would be the first speaker. I thought that sounded pretty good, since then I could take whatever time I wanted to and call it good. He also suggested I write a ten to fifteen minute talk. Once I got to church I discovered that I had been moved to the last speaking slot, with the missionaries speaking first. When they finished and we had sung the rest hymn there were still twenty four minutes before the end of the meeting. Darin told me that as long as I talked until at least ten minutes were left it would be ok. So I got up and delivered my talk, finishing at 11:50, so church ended five minutes early by the time we had sung and the closing prayer was offered.
Oh, I almost forgot to mention, I was sustained and set apart today as a ward finance clerk. So lets see, yep, it's round five for that calling, I guess I still have a lot to learn about being a clerk.
Have a great week,
—Bill
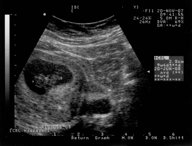
December 11th, 2007
The oven is pretty busy. . .
Merry Christmas everyone! The last six months have been wild.
I put a entry into my personal blog last month, but I figured
it was time for another family message. For starters, please
meet peanut:
This picture is a couple weeks old, but it gives you the general idea.
Yes, it has happened! Megan and I are going to have a baby. Please
don't ask whether it will be a girl or a boy, we are planning to find
out, but not until late February. Megan named it peanut because it
was about that size in the ultrasound. As you can see from the
counter, we will meet peanut approximately on June 20th, at which
point we will have a name picked out that is more appropriate.
For Thanksgiving we had Megan's sister Kelsie come and spend the week,
which was a lot of fun, and she helped us get out the Christmas tree
and nativity's. So we are all decorated for the Holidays. Megan and
I also went to Temple Square that Sunday and looked at the lights.
Then a couple of nights later it was snowing and I went back by myself
and took some pictures that I really like. If we have time our
favorite one will be on the Christmas cards we are sending out.
Thanks,
—Bill
June 24th, 2007
Babies, babies, everywhere. . .
With apologies to our faithful readers, and to Samuel Taylor Coleridge for basing my title on his verse. It seems that a new generational wave is growing in our extended families. The first ripples were of course Shaun and Autumn Gee, nine and six years ago. Followed on Megan's side by Bianca and Ava. Then, right as we were getting engaged, Heather and Jared had Christian. This year the wave began to build in more earnest with Joseph Bair (the first male Bair of his generation) and Enoch Buhler (the first Buhler). Followed rapidly by Lillian (Julie's daughter).
We've had a family event almost every Sunday for weeks, and have enjoyed the plethora of babies. It's particularly fun to watch as Christian interacts with his new cousins. It sometimes seems like he is a little jealous of the attention the newcomers get. But then he becomes very interested in them.
Today we attended church with my Aunt and Uncle Kathy and Brian Ballard, to hear their son Nathan report on his mission. He seems to have learned a lot, and developed a good testimony. Afterwards we mingled as a family for a while and I learned that their daughter Megan and her husband Trent have moved to Las Vegas from Hawaii, and that Megan is going to have a boy. Which means that this baby trend is taking off among my cousins as well.
On a related note, we ourselves are having a little fun interacting with kids. There is a fun young man on the other side of our Ward that was baptised a few months ago when he turned eight. He initially started attending with one of his neighbors. But she went to New York for a internship this summer, and asked if we could give him a ride to and from church. At this point we pick him up, take him to church, and then take him home for lunch, followed by board games until his Grandmother (his legal guardian) calls and tells us she is home (she takes the time while he is at church to visit relatives). He is a lot of fun, Megan and I are teaching him some cooking basics, including proper knife techniques. You might think that is brave, but if he wants to cut things in my house, I want him to be as safe as possible. . .
Everything else is going well, and this summer looks like it will be a fun mix of travel and home improvements.
—Bill
October 14th, 2006
Winding back down
It's hard to believe that it is already Sunday again. We just got a phone call from Sam (Megan's brother), informing us they sucessufully got on their flight back to Sioux Falls. We had been a little worried because they are flying standby and it looked like the flight might be full.
So it's official, Molly and Jame's wedding is over. This last week has been a whirlwind of preparation, and then it seemed like it happened in a flash. I believe this is the third wedding we've attended since we tied the knot. I'm finding that I relate the couple's nervous but excited expressions a lot, and chuckle over it.
But the funnest part of the wedding was seeing Megan's family. I was sad that everyone has to leave so quickly, but hopefully we will meet up soon, for a less focused occasion.
—Bill
October 8th, 2006
½ Year Mark
Today is the day, and in classic male form I completely spaced it until Megan smiled at me in church and whispered “Happy six month anniversary” I had thought about it a few days ago, but today it was the farthest thing from my mind. I did feel like I needed to commemorate it by writing a state of the Buhlers report.
Since the last report life has thrown us a few curves. Megan's grandmother passed away, which was very hard on Megan, who spent many of her summers growing up living with her grandparents, creating a special bond. Two days after the funeral Molly and James announced their engagement, and will be married this coming Friday, October 13th.
Megan has been happily helping Molly plan for this great occasion, and it sounds like a lot of fun. The reception will be held in our ward building so I will be deeply involved in setup and cleanup. Unlike our wedding it will be pretty easy to unlock the building because I was called to be the building specialist a few weeks ago.
Other good news is that Megan's last cancer screening was negative! They want to do another screening next year in August. After that she can wait a few years between screenings.
So far I can honestly say that I love being married to Megan, and that I really miss her when we can't be together.
—Bill
June 25th, 2006
Time flies once you're married.
An amazingly quick two and a half months have gone by since the wedding. Before we got married Megan commented on how efficient our lives would get once we were married and able to split the day to day load. At the time I thought this would be true. However it seems that Murphy has had other plans for us.
The last two months have been a blur, with hardly a moment to catch our breath. Just two weeks after our Honeymoon, we had the pleasure of flying to Delaware to see my Cousin Robb Taber marry Sarah Kendall. We had hoped to spend some time touring DC, but had so much fun with the extended family that we only had time to see Arlington National Cemetary, ride the subway, and eat in the Reagan Building.
Then it was back to the daily grind. Megan and I have both had extremely busy months at work. To add a little more excitement, our kitchen sink decided to clog so badly that I was unable to snake it clean. Then the dishwasher stopped draining. Adding to the excitement, an install at work didn't go well, and I worked forty hours in three days. Megan valiantly washed dishes in the bathtub while I had to work. Finally at the end of that I was able to follow some advice from Eric Fowler and bought a nifty tool from Home Depot that unclogged the sink. When that didn't fix the dishwasher I pulled it apart and found that the drain pump impeller had broken, it took about four days to get a replacment, and about two hours to install it. A dishwasher may be in the want category, but with as much cooking as we do, it's pretty close to a need.
That Saturday was my niece Ava Bair's first birthday. Megan built a cake while I made ganach frosting. Then we packed up the car, including Sage who really, really, wanted to come, and drove to Grandma and Grandpa Shupe's house in North Ogden. It was a fun party, they ordered pizza, we had helium baloons for Ava and Bianca, and Megan's mom had come into town. Initially Bianca was scared of Sage, but by the time we had left she thought Sage was wonderful.
That night we had a wonderful time getting together with Bishop and Sister Cutler, Danny Lasko, his fiance Angela, and the Cutler's daughter Nan, and husband Aaron. They took us to Zteja's and then we all enjoyed a concert at the LDS Conference Center.
Then two weeks ago we went to Mike and Debbie Benson's wedding at Lacaille, followed by a farewell for the Bishopric of the 13th Ward where I attended before I met Megan.
Finally this weekend we went with my Aunt Melody as she took out her endowments at the Salt Lake Temple. It was a wonderful time for everyone who went. Also Megan taught her second Gospel Doctrine lesson. She was concerned because it was about David and Bathsheba. I thought she did a wonderful job. I still don't have a calling, so I get to help Megan with handing out flyers and setting up.
So life continues to march on at a breakneck pace, and we are trying hard to keep up.
—Bill